title 2
   הצהרת נגישות
 
    דף הבית
    ENGLISH HOME PAGE
    מי ומי בצוות המרפאה
    ה"אני מאמין" שלנו
    סל הטיפולים
    מכתבים ממטופלים
    כיצד ניתן להגיע
    הנחיות לאחר טיפול
    צור קשר
    טיפול שיניים בהריון
    הצהרת נגישות
 
 
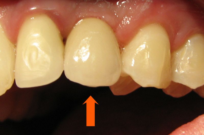
The aesthetic requirements when making crowns for front teeth are especially high because of their prominence. When the area of the gums is visible this is particularly so, and we may opt to use a crown in which the (usual) metal base is replaced by Zirconium, which is white. This helps to avoid the grayish shadowing that may appear around the gumline as a result of reflection in and around soft tissue when a metal substructure is used beneath the porcelain.